Orthodontics
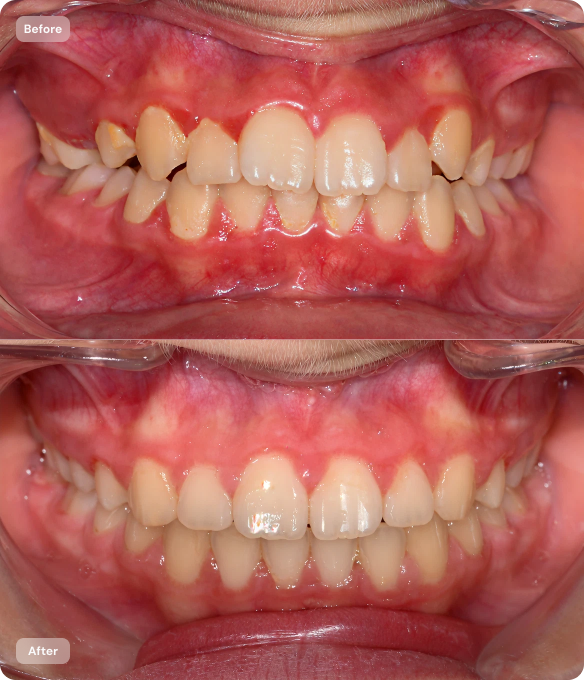
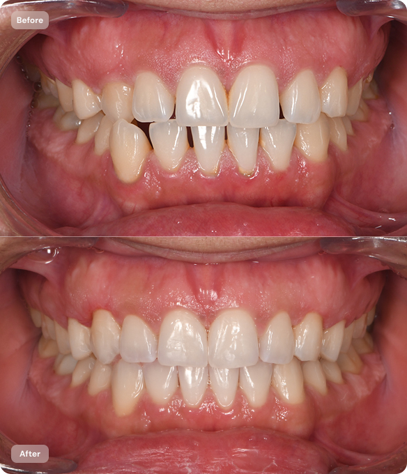
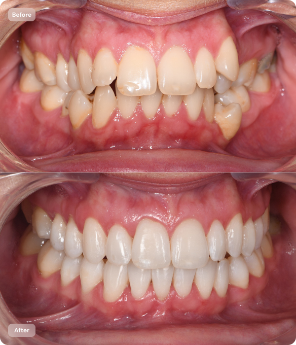
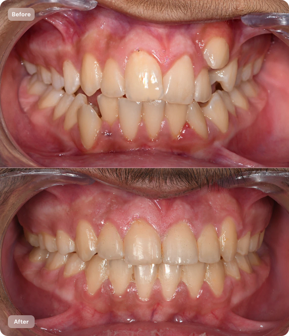
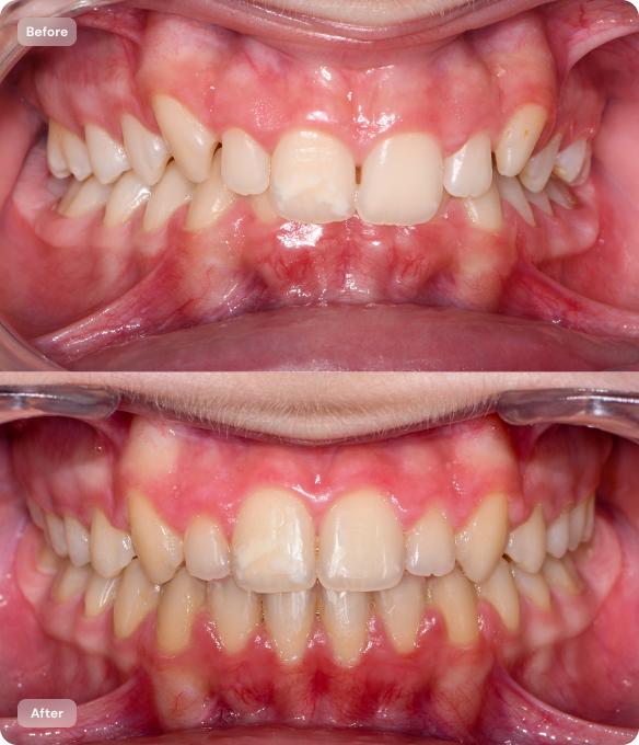
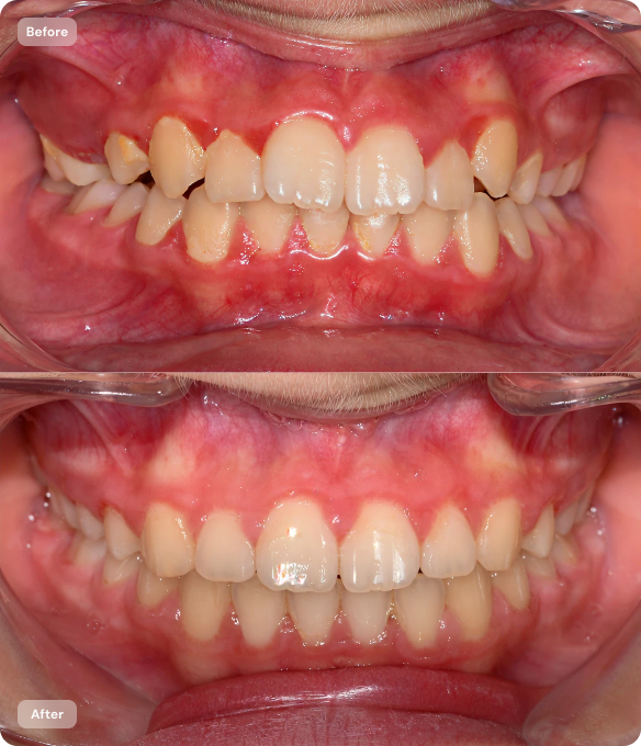
Orthodontics is a specialized branch of dentistry focused on correcting misaligned teeth, improving oral health, and enhancing overall facial balance. Whether you’re a parent exploring orthodontic treatment for your child’s crooked or crowded teeth or an adult ready to address long-standing dental and facial irregularities, our team provides personalized orthodontic care designed to improve both function and appearance.
We offer a complete range of treatment options to address various dental concerns, including traditional metal braces with durable metal brackets, aesthetic ceramic braces, lingual braces, and clear aligners such as Invisalign. These orthodontic appliances correct tooth alignment, guide jaw alignment, and improve oral function.
For younger clients, w
e also provide early orthodontic evaluation and treatment to support proper jaw growth, correct crooked teeth, and properly position upper and lower teeth. As such, the practice often prevents more complex orthodontic problems later in life. During a treatment period, we focus on comfort, precision, and achieving your desired outcome, all while maintaining the highest standards of care.